Raio X do tórax: identificando infecções e inflamações
Postado em: 10/03/2026

O raio X do tórax é um exame de imagem amplamente utilizado para avaliar pulmões, coração e outras estruturas da região torácica, sendo fundamental na identificação de infecções e inflamações respiratórias. Trata-se de um método rápido, seguro e acessível, que auxilia médicos no diagnóstico e no acompanhamento de diversas condições clínicas.
Por permitir a visualização de alterações internas sem procedimentos invasivos, o exame costuma ser solicitado diante de sintomas respiratórios persistentes, em situações de emergência ou como parte da avaliação clínica de rotina, sempre como complemento à análise médica especializada.
Quer saber como é feito o raio X do tórax para ter mais tranquilidade no seu procedimento? Continue sua leitura e conte com o HCI!
O que é o raio X do tórax?
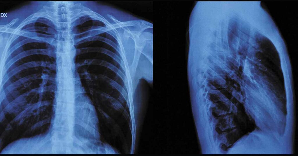
O raio X do tórax é um exame de diagnóstico por imagem que utiliza baixas doses de radiação ionizante para produzir imagens das estruturas internas do tórax.
Essas imagens permitem a visualização detalhada dos pulmões, do coração, das costelas, da coluna torácica e do mediastino.
O exame é realizado de forma rápida e indolor, geralmente em posição em pé ou deitada, conforme a condição clínica do paciente, e fornece informações essenciais para a investigação de alterações anatômicas e funcionais dessa região.
Agende seu exame no HCI de forma ágil e prática, entrando em contato!
Para que serve o raio X do tórax na prática clínica?
Na prática clínica, o exame tem papel central na avaliação inicial de sintomas respiratórios e cardiovasculares, além de auxiliar no acompanhamento de doenças já diagnosticadas.
É importante destacar que o exame oferece uma visão geral do tórax, permitindo identificar sinais que orientam decisões médicas mais precisas. Confira os principais usos do raio X!
Avaliação dos pulmões e vias respiratórias
No exame, os pulmões são analisados quanto à presença de opacidades, consolidações, áreas de colapso ou alterações no padrão pulmonar.
Essas imagens podem indicar infecções, inflamações ou outras condições respiratórias, como acúmulo de secreções ou alterações estruturais que justificam sintomas como tosse, falta de ar e dor torácica.
Análise de estruturas torácicas
Além dos pulmões, o raio X do tórax permite observar o tamanho e o contorno do coração, avaliar costelas e identificar alterações no mediastino.
Essas informações são relevantes para investigar doenças cardíacas, traumas torácicos, fraturas e outras condições que podem impactar a saúde geral do paciente.
Como o raio X do tórax identifica infecções e inflamações?
O princípio do exame baseia-se na diferença de absorção dos raios X pelos tecidos do corpo. Estruturas mais densas aparecem mais claras na imagem, enquanto áreas com ar, como os pulmões saudáveis, tendem a ser mais escuras.
Alterações nesse padrão auxiliam na identificação de processos patológicos.
Infecções respiratórias
Em casos de infecções respiratórias, como pneumonia ou tuberculose, o exame pode revelar áreas de consolidação pulmonar ou padrões sugestivos de acometimento infeccioso.
Esses achados ajudam o médico a direcionar a investigação clínica e a necessidade de exames complementares.
Processos inflamatórios no tórax
O exame também auxilia na detecção de inflamações pulmonares, derrame pleural e outras alterações inflamatórias que modificam a aparência normal das estruturas torácicas.
É fundamental reforçar que o raio X do tórax auxilia no diagnóstico, mas não substitui a avaliação clínica nem outros exames quando necessários.
No Hospital de Clínicas de Itajubá você realiza avaliações completas, contando com especialistas de diversas áreas e vários tipos de exame, todos com excelente infraestrutura. Agende uma consulta para cuidarmos de você!
Quando o raio X do tórax é indicado?
A indicação do exame depende da análise médica e do contexto clínico de cada paciente. Em geral, ele é solicitado tanto em situações agudas quanto no acompanhamento de condições crônicas.
Sintomas que justificam a solicitação
O exame é indicado quando há necessidade de investigar alterações internas que não podem ser avaliadas apenas pelo exame físico. Os sintomas que mais costumam levar à indicação desse exame são:
- Tosse persistente;
- Falta de ar;
- Dor no peito;
- Febre prolongada;
- Suspeita de infecção respiratória.
O médico responsável pela sua avaliação determina se esse exame é recomendado no seu caso e se outras abordagens também são indicadas.
Acompanhamento e monitoramento de doenças
O raio X do tórax também é utilizado para acompanhar a evolução de tratamentos, avaliar a resposta terapêutica e monitorar doenças respiratórias ou cardíacas ao longo do tempo, sempre integrado à avaliação clínica contínua.
Como é feito o exame de raio X do tórax
O procedimento é simples e rápido, contribuindo para maior conforto e segurança do paciente durante a realização.

Preparo do paciente
O preparo costuma ser mínimo. Em geral, o paciente é orientado a retirar objetos metálicos da região do tórax para evitar interferências na imagem.
O objetivo é garantir maior qualidade diagnóstica com um procedimento simples e direto.
Segurança e radiação
A exposição à radiação é baixa e controlada, sendo considerada segura quando o exame é realizado sob indicação médica.
O procedimento dura poucos minutos e segue protocolos rigorosos de segurança, especialmente em ambientes hospitalares estruturados.
Entre em contato para marcar seu raio X do tórax no HCI!
Perguntas frequentes sobre raio X do tórax
Algumas dúvidas são comuns entre pacientes que vão realizar o exame. A seguir, esclarecemos as principais perguntas de forma objetiva e segura!
O raio X do tórax dói?
Não. O exame é indolor e não envolve qualquer tipo de intervenção invasiva.
O exame oferece riscos à saúde?
Quando indicado por um profissional de saúde, o risco é mínimo, pois a dose de radiação utilizada é baixa e controlada.
Quanto tempo leva para fazer o exame?
O procedimento é rápido e geralmente leva apenas alguns minutos, desde o posicionamento até a captação da imagem.
O raio X do tórax substitui outros exames de imagem?
Não. Ele pode ser complementado por outros exames, como tomografia ou ultrassom, dependendo da avaliação médica.
Conclusão
O raio X do tórax é um exame essencial na prática médica, contribuindo de forma significativa para a identificação de infecções e inflamações respiratórias, além de outras alterações torácicas.
Seguro, rápido e amplamente disponível, ele auxilia médicos na tomada de decisões clínicas mais assertivas, sempre em conjunto com a avaliação do paciente.
Em instituições como o Hospital de Clínicas de Itajubá, que atuam como referência em alta complexidade, o exame integra uma estrutura diagnóstica completa, voltada para o cuidado qualificado, preciso e humanizado. Marque seu horário e venha fazer seu raio X conosco!
